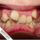
OUR SMILE GALLERY
Here at Smiling Wide Orthodontics, we realise that good treatment can provide significant change in the smiles of our clients. It may be difficult for you to visualise the results of our treatments, which is why we have compiled our smile gallery—to help you see the difference orthodontic treatment can make.
If you need more information regarding our treatments, feel free to contact our clinic in Bundaberg, Maryborough or Hervey Bay and take your first step to your ideal smile. Your initial consultation with the orthodontist is complimentary!






























